Layanan Estetika Gigi di Rina Dental Clinic: Whitening, Veneer, dan Orthodonti
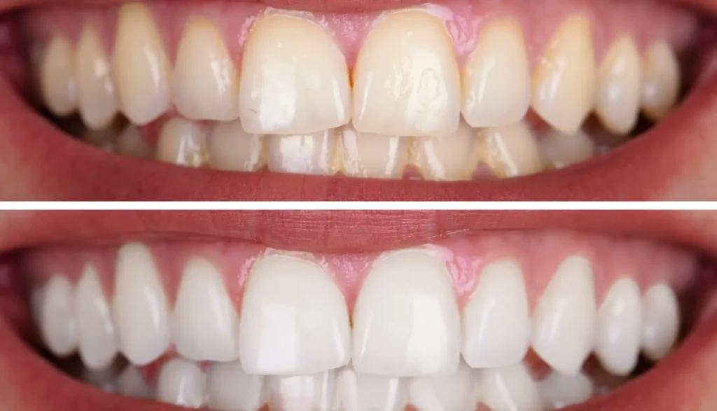
Memiliki gigi putih, rapi, dan sehat adalah dambaan banyak orang. Di Rina Dental Clinic, kami menghadirkan berbagai layanan estetika gigi modern untuk mempercantik senyum Anda, di antaranya: Teeth Whitening (Pemutihan Gigi): Membuat gigi lebih putih dan cerah dengan teknologi aman. Veneer Gigi: Solusi untuk memperbaiki bentuk, warna, dan susunan gigi agar tampak sempurna. Orthodonti (Behel […]
Layanan Estetika Gigi di Rina Dental Clinic: Whitening, Veneer, dan Orthodonti Read More ยป

